

Perchè il sorriso è così importante
Ricerche della Accademia Americana di Odontoiatria Estetica riportano che il sorriso è l'aspetto che si ricorda di più in una persona.

Un sorriso estetico può migliorare ogni aspetto della tua vita
Sorriso e autostima
Un sorriso sano può favorire il miglioramento della comunicazione e dei legami sociali. Le persone che si sentono sicure della propria salute orale sono più propense a costruire relazioni significative, sia in ambito personale che professionale.
Incremento del benessere personale:
Chi gode di una buona salute orale ha maggiori probabilità di seguire una dieta varia ed equilibrata, con conseguente miglioramento della salute e della qualità della vita.
Evoluzione di carriera:
La fiducia nel proprio aspetto, compreso un sorriso sano, può avere un impatto positivo sulle prospettive di carriera. Da un recente studio emerge che il 74% degli intervistati è convinto che una bocca trascurata possa avere un impatto negativo sulla carriera lavorativa. .
Benessere Mentale:
Alcuni studi hanno dimostrato che un sorriso sicuro può portare ad un aumento dei livelli di felicità e una riduzione dello stress e dell'ansia rilasciando endorfine e promuovendo un senso di benessere e appagamento.
Il potere di un sorriso estetico
Riflette chi siamo, come ci sentiamo e come ci presentiamo al mondo.
Un sorriso armonioso non è solo una questione estetica: è sicurezza, è energia, è autostima che si rinnova ogni giorno.
Immagina di poter sorridere con naturalezza, in ogni momento.
Di non dover più coprire la bocca nelle foto o evitare di mostrarti per intero.
Con le soluzioni moderne dell'estetica dentale, oggi è possibile trasformare il tuo sorriso e con esso, il modo in cui ti vedi e ti fai vedere.
Un sorriso sano e armonioso è il risultato di un approccio estetico attento e personalizzato, che migliora tanto l'aspetto quanto il benessere.
Soluzioni su misura per il benessere del sorriso
Quando il sorriso non risponde più alle proprie aspettative, è naturale cercare una soluzione che migliori il proprio benessere.
Se stai valutando possibili soluzioni per migliorare il tuo sorriso, compila il form: ti guideremo con trasparenza e professionalità, sviluppando un percorso personalizzato in base alle tue esigenze.
Verrai contattato dalla nostra segretaria per valutare insieme la soluzione più adatta alla tua condizione.
Per Informazioni
Lascia il tuo nome, numero di telefono e email, sarai contattato a breve

Dal 1990 l’eccellenza
sul territorio
Quando scegliere di migliorare il proprio sorriso?
Esistono 5 fattori che possono compromettere l'estetica del tuo sorriso, ma per ciascuno di essi esiste una soluzione mirata.
È fondamentale agire tempestivamente: ritardare l'intervento potrebbe portare a un aggravarsi della condizione.

Le 5 imperfezioni del sorriso più comuni:
Scopri se ti riconosci in una di queste condizioni.
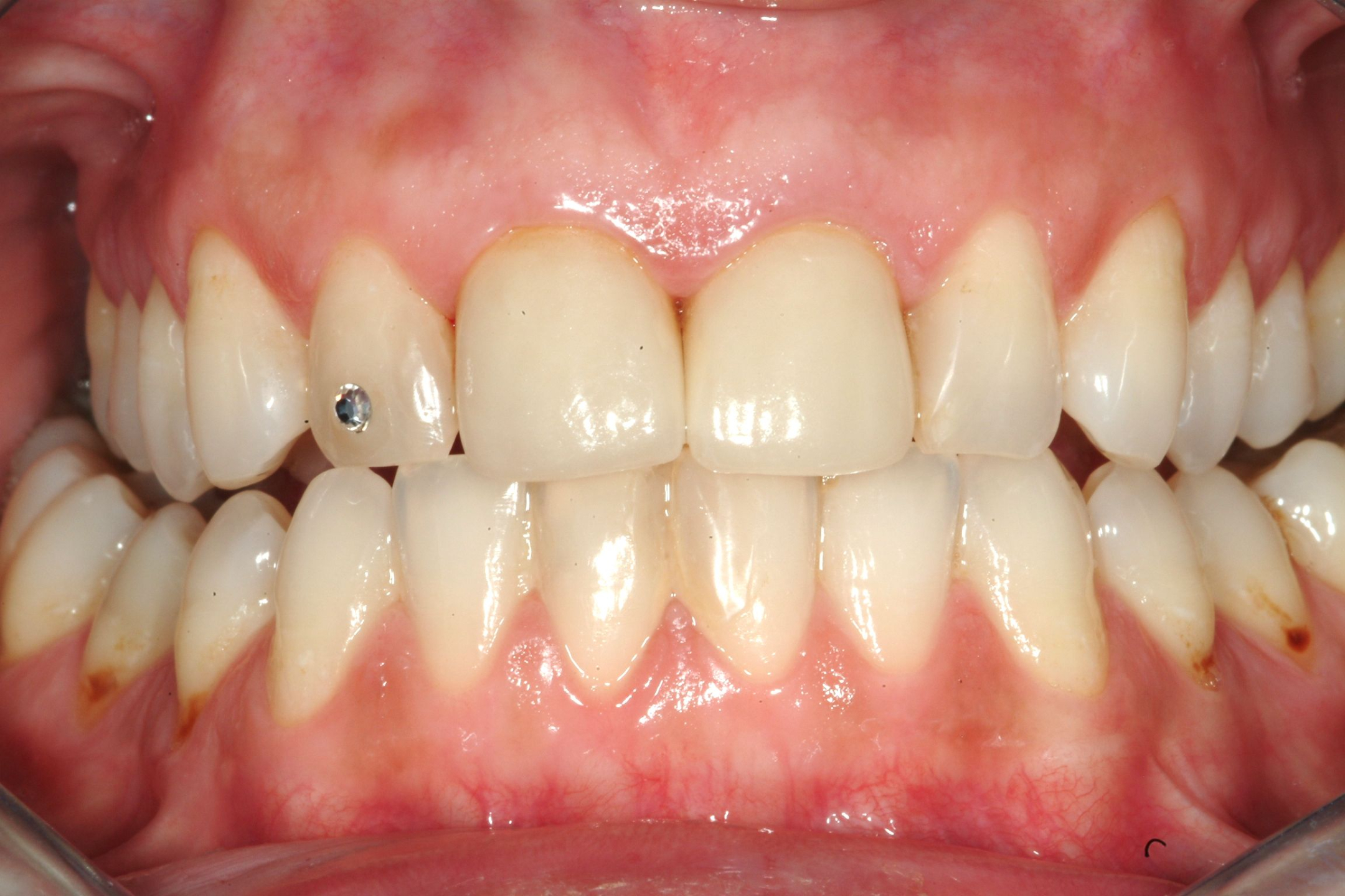
1) Hai notato macchie superficiali e denti colorati?
Le macchie superficiali e il colore spento dei denti sono fenomeni comuni che colpiscono molti.
Questi problemi estetici si sviluppano principalmente a causa di alimenti e bevande pigmentati come caffè, tè, vino rosso e altre sostanze che, con il tempo, lasciano residui sullo smalto, alterando il suo colore naturale.
Anche l' accumulo di placca batterica contribuisce in modo significativo al cambiamento del colore dei denti.
Se non eliminata correttamente, si indurisce in tartaro, che non solo altera il colore dei denti, ma compromette anche la loro salute estetica a lungo termine.
Scopri la soluzione più adatta a te2) Macchie profonde e vecchie otturazioni: le noti ogni volta che sorridi?
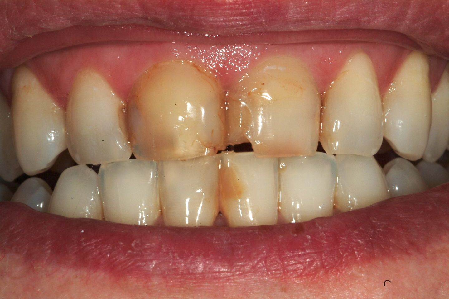
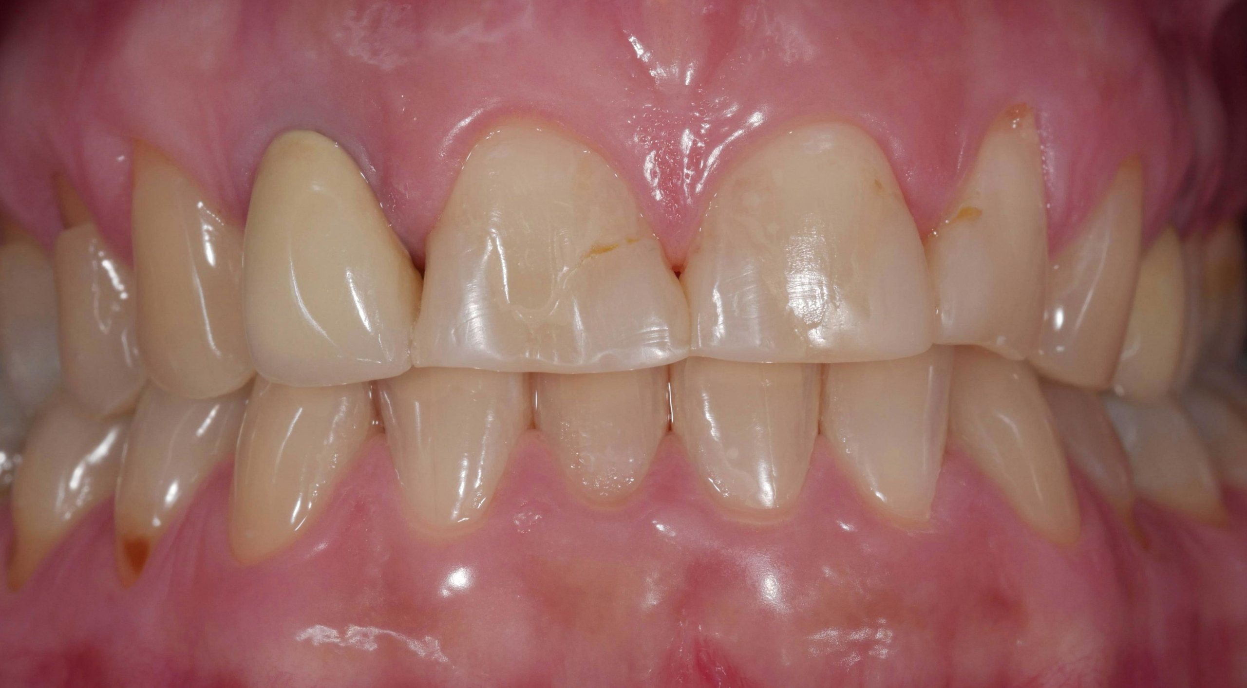
Le otturazioni metalliche e le vecchie resine possono compromettere l'estetica del sorriso, creando ombre antiestetiche e riducendo la luminosità naturale dei denti.
Col tempo, questi materiali invecchiati possono anche macchiare i denti adiacenti e causare microfratture dello smalto, favorendo infiltrazioni batteriche.
Le otturazioni metalliche, in particolare, danno un'impressione di trascuratezza , rendendo il sorriso più vecchio e meno luminoso. Questi restauri interrompono la continuità del colore e sono visibili, influenzando negativamente l'aspetto complessivo del sorriso.
Aggiornare le otturazioni obsolete è essenziale per ripristinare la bellezza e la salute dei tuoi denti.
Scopri la soluzione più adatta a te3) Le piccole imperfezioni nella forma o nel colore stanno compromettendo l'equilibrio del tuo sorriso?
A volte, anche piccole alterazioni nella forma o nel colore dei denti possono compromettere l'armonia del sorriso, facendoci sentire meno sicuri nel mostrarlo. Le cause più comuni includono:
-
Denti scheggiati o consumati : Traumi o usura naturale causata da masticazione ripetuta, bruxismo (digrignamento dei denti) o semplicemente dal tempo, possono portare a denti che appaiono danneggiati, con bordi irregolari e sfaldati.
-
Diastemi antiestetici : Gli spazi tra i denti anteriori, spesso considerati fastidiosi, possono alterare l'armonia del sorriso.
-
Malformazioni dentali e disallineamenti leggeri : Alcuni denti possono essere più piccoli, storti o avere una forma atipica, mentre lievi disallineamenti o una leggera rotazione dei denti anteriori possono rendere il sorriso meno armonioso.
4) Le alterazioni gravi di forma e colore dei tuoi denti ti impediscono di sorridere liberamente?
In alcuni casi, le alterazioni della forma e del colore dei denti non sono solo un problema estetico superficiale, ma segnalano un deterioramento che richiede interventi più complessi.
Le cause di queste alterazioni possono includere:
-
Denti gravemente danneggiati : Traumi, carie avanzate o fratture che compromettono la struttura del dente rendendolo fragile o addirittura instabile. Il danno può alterare la forma e il colore del dente in modo irreversibile, spesso con la comparsa di macchie scure o zone scheggiate.
-
Denti estremamente consumati : L'usura intensa causata da bruxismo (digrignamento dei denti) o da un uso eccessivo di denti per funzioni non naturali può portare a denti ridotti in altezza e forma, con conseguenti problemi estetici e funzionali.
-
Malformazioni dentali gravi : Alcuni denti possono svilupparsi in modo anomalo, causando una discontinuità evidente nell'armonia del sorriso.
5) Senti che il tuo sorriso sta perdendo armonia a causa di spostamenti dentali o gengive ritirate?
Gli spostamenti dentali possono derivare da fattori come la mancata ortodonzia, la perdita di un dente o il bruxismo, che spostano i denti, compromettendo l'allineamento e l'armonia del sorriso. Questi cambiamenti non solo alterano l’aspetto, ma possono anche causare difficoltà funzionali.
La retrazione gengivale, causata da cura dentale aggressiva, malattie gengivali o l’invecchiamento naturale, esponendo le radici dei denti, può rendere il sorriso meno gradevole e aumentare la sensibilità dentale.
Scopri la soluzione più adatta a teScopri la soluzione su misura per il tuo sorriso e inizia il percorso verso una bellezza duratura.

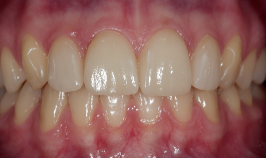
1. Igiene e Sbiancamento Dentale
Se hai notato un ingiallimento graduale o delle macchie superficiali sui tuoi denti, il primo passo per migliorare il tuo sorriso è un'accurata igiene professionale. Nei casi in cui l’ingiallimento o le macchie siano più persistenti, possiamo valutare insieme uno sbiancamento dentale, una soluzione sicura che ti consente di ripristinare il bianco naturale del sorriso. In entrambi i casi, il nostro obiettivo è offrirti un sorriso sano, luminoso e che ti faccia sentire a tuo agio.
Voglio informazioni a riguardo
La Tecnica GBT: L'igiene orale indolore 2.0
La Guided Biofilm Therapy (GBT) rappresenta una vera e propria rivoluzione nel trattamento dell'igiene orale.
Grazie all'uso della tecnologia AIRFLOW® , questa tecnica avanzata permette di rimuovere la placca orale in modo preciso e sicuro, senza danneggiare lo smalto dei denti o irritare le gengive.
Il trattamento si distingue per la sua capacità di trattare la placca batterica in modo mirato, utilizzando un flusso d'aria fine che, unito a particelle di polvere fine e acqua, raggiunge anche le aree più difficili da pulire.
Rispetto ai metodi tradizionali, la precisione della GBT non solo migliora la salute orale, ma contribuisce anche a prevenire la formazione di tartaro e placca in futuro, mantenendo i denti sani e luminosi più a lungo.
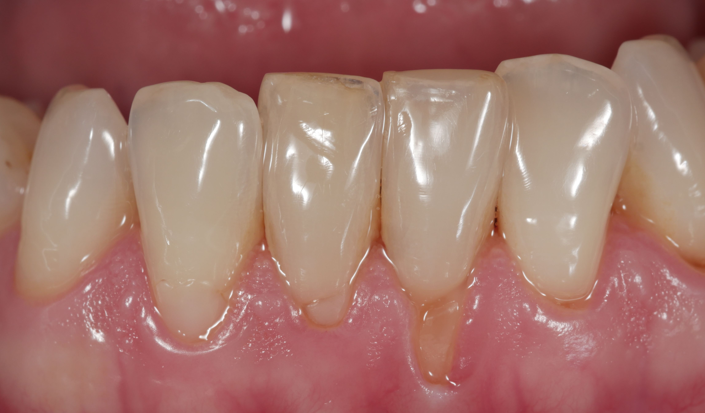
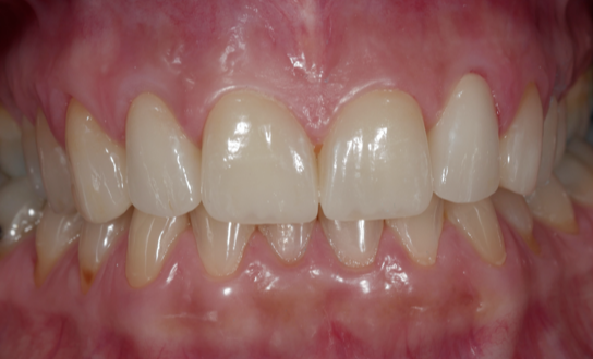
2. Otturazioni estetiche: Rinnova il tuo Sorriso
Sostituire le vecchie otturazioni metalliche è uno degli interventi più semplici.
In una sola seduta , puoi eliminare le antiestetiche macchie scure e donare nuova armonia ai tuoi denti.
Le otturazioni estetiche in composito sono completamente biocompatibili , prive di metalli e si integrano perfettamente con il colore naturale dei denti. Offrono un risultato visibile da subito, con un sorriso più luminoso, naturale e curato .
I materiali di nuova generazione garantiscono resistenza all'usura e stabilità cromatica nel tempo.
Voglio informazioni a riguardo3. Faccette Dentali: un sorriso su misura per te
Le faccette dentali rappresentano la soluzione ideale per chi desidera un sorriso visibilmente più armonioso senza ricorrere a trattamenti invasivi. Sottili lamine in ceramica o composito, applicate con precisione sulla superficie esterna dei denti, permettono di correggere in modo rapido ed efficace inestetismi di forma, colore e proporzione.
Ogni faccetta è progettata su misura, rispettando la tua fisionomia, il colore naturale dei tuoi denti e l’equilibrio del tuo viso.
Sono la soluzione ideale per migliorare il tuo sorriso in modo preciso e personalizzato. Possono coprire macchie profonde e permanenti che non si eliminano con lo sbiancamento, restituendo luminosità naturale ai denti. Inoltre, sono perfette per ripristinare denti scheggiati o consumati, chiudere spazi tra i denti e migliorare la forma e la simmetria del sorriso, il tutto in modo conservativo e duraturo. Con le faccette dentali, ottieni un sorriso armonioso e naturale, senza compromettere la salute dei tuoi denti.
Voglio informazioni a riguardoMock-up Dentali: prova il tuo nuovo sorriso prima del trattamento
Con i mock-up dentali , puoi vedere e sentire in anteprima il risultato finale del trattamento con faccette. Si tratta di una simulazione temporanea e totalmente reversibile , che ti permette di “indossare” il tuo futuro sorriso prima di iniziare qualsiasi procedura definitiva.
Questa fase è fondamentale per eliminare ogni dubbio e affrontare il trattamento con serenità: puoi valutare l'aspetto, la forma e l'armonia del sorriso , verificarne la naturalezza e, se necessario, richiedere modifiche immediate.
4. Corone in Zirconio: quando l’estetica richiede anche forza e durata
In alcuni casi, le alterazioni di forma e colore non sono solo un inestetismo superficiale, ma il segnale di un dente strutturalmente compromesso. Fratture, ricostruzioni estese, usura avanzata: quando il dente ha perso stabilità, le faccette non bastano più. È qui che entrano in gioco le corone in zirconio.
Realizzate in materiali ceramici di ultima generazione, le corone in zirconio offrono un perfetto equilibrio tra resistenza meccanica ed estetica naturale:
-
Completamente prive di metallo e biocompatibili
-
Nessun bordo scuro visibile a livello gengivale
-
Colore e traslucenza simili a quelli dei denti naturali
-
Ottima durabilità nel tempo e stabilità cromatica
-
Massimo rispetto del dente residuo grazie a tecniche conservative
Le corone estetiche non sono solo una “copertura”, ma un vero e proprio restauro completo, pensato per ricostruire l’integrità e la bellezza del dente, restituendo al sorriso funzionalità e armonia.
Voglio informazioni a riguardoSmile Design: progetta il tuo nuovo sorriso, prima di iniziare
Lo Smile Design è una tecnica avanzata di pianificazione estetica che ti permette di vedere in anteprima il risultato finale del trattamento prima ancora di iniziarlo. Attraverso una simulazione fotografica digitale, creiamo una rappresentazione realistica del tuo futuro sorriso, basata sulle proporzioni del viso, sulla fisionomia e sui tuoi obiettivi estetici.
📸 Partendo da fotografie e scansioni digitali del tuo volto e dei tuoi denti:
-
Analizziamo l'armonia tra sorriso e lineamenti
-
Progettiamo la forma, il colore e la posizione ideale dei denti
-
Ti mostriamo il possibile risultato finale in modo chiaro e realistico
5. Innesti Gengivali e Rigenerazione Ossea: estetica e salute in equilibrio
Quando gengive ritirate o denti spostati alterano il sorriso, il problema non è solo estetico, ma spesso legato a una perdita di tessuto gengivale o osseo. Intervenire è fondamentale per ripristinare sia l’armonia che la salute.
Con l’innesto gengivale, preleviamo tessuto dal palato per ricostruire le gengive ritirate, proteggere i colletti dentali e ridurre la sensibilità. È una tecnica minimamente invasiva e consolidata, che applichiamo da oltre 30 anni con risultati naturali e duraturi.
Nei casi più complessi, utilizziamo la rigenerazione ossea interprossimale, una procedura moderna che stimola la ricrescita dell’osso perso tra i denti, senza l’uso di membrane o materiali sintetici. Il tutto con interventi rapidi, indolori e con recupero immediato.
Voglio informazioni a riguardoTestimonianze che ci rendono orgogliosi del nostro lavoro:

Daniela Costantini
"Professionalità elevatissima, metodi all' avanguardia costantemente aggiornati, gentilezza ineguagliabile dall'accoglienza alla poltrona: sono gli ingredienti di questa stupenda realtà odontoiatrica. Una struttura che continuo a suggerire con orgoglio ad amici e conoscenti. Grazie, studio Caprara!"

Massimo Petarra
"Se avete il terrore del dentista questo è il posto giusto… Dopo molte ricerche per necessità, visto che per 52 anni non sono mai stato dal dentista, ho trovato lo Studio del Dottor Caprara, e fin da subito ho trovato professionalità e umanità davvero introvabili. Il dottore è davvero professionale e preparato, e una persona splendida e tutto il suo staff sono delle persone davvero meravigliose.. Da subito mi hanno accolto con grande umanità e mi hanno risolto tutti i problemi dentali. Consiglio a tutti questo Studio, per professionalità, umanità, disponibilità, pulizia, utilizzo di materiali made in Friuli, igiene e quant’altro.. Davvero un ECCELLENZA… Grazie di cuore per tutto."

Patrizia Tavano
"Dello studio del Dr.Caprara apprezzo le qualità umane, le competenze professionali oltre che l’attenzione all’ambiente. Sono accoglienti, cordiali, premurosi, davvero amabili; operano con impegno, entusiasmo e passione. Ho sempre trovato la migliore soluzione ai miei problemi con risultati che, anche da un punto di vista puramente estetico,sono andati oltre le aspettative. Sono pienamente soddisfatta e ringrazio il dottore e la Sua equipe."

Stella Dal Zuffo
"Il dott. Caprara oltre ad essere veramente bravo e professionale, è gentile , disponibile, capisce gli stati d’animo, ti mette sempre a tuo agio. Sono anni che mi servo del suo studio e non cambierei per nulla al mondo. Anche le sue aiutanti sono sempre gentilissime. Lo consiglio .Il dott. Caprara oltre ad essere veramente bravo e professionale, è gentile , disponibile, capisce gli stati d’animo, ti mette sempre a tuo agio. Sono anni che mi servo del suo studio e non cambierei per nulla al mondo. Anche le sue aiutanti sono sempre gentilissime. Lo consiglio."

Stefano Riep
"Una grande professionalità e gentilezza del dottore che si occupa a 360 gradi della tua bocca. Arrivi in studio e il suo staff ti accoglie con gentilezza. Il dottore con grande umanità e competenza trova la soluzione migliore per le tue esigenze. È bello aver ritrovato il mio sorriso. È una sensazione impagabile. Grazie di tutto."

Samanta Minold
"Il mio dentista è differente. Educato, empatico, meticoloso,
pulito, professionale, non solo ti cura, ma ti segue nel tempo e spiega BENE il percorso che si farà..quello che per molti dott. è scontato, ma che in realtà, scontato NON lo è mai.
Col suo parlare pacato e rispettoso di chi ha davanti, ti mette in condizioni di totale comprensione e relax.
Quando alcuni amici, mi parlano del “loro dentista” io son ben contenta di dire :
“no no, per carità il “mio dentista” è differente”
Per favore finché ne ho bisogno spero non vada MAI in pensione."
Quanto tempo, dolore, valore dobbiamo investire per migliorare il nostro sorriso?
TEMPO
- Igiene: 1 appuntamento > giornata
- Otturazioni: 1 appuntamento > giornata
- Sbiancamento: 2-4 appuntamenti > 2-4 settimane
- Faccette: 2 appuntamenti > settimana
- Corone: 2-6 appuntamenti > 2 settimane a 2 mesi
- Innesto: 3 appuntamenti> 3 settimane
DOLORE
-Igiene: NO grazie alla metodica GBT
- Otturazioni: Anestesia (se non devitalizzato)
- Sbiacamento: No eventualmente antinfiammatorio
- Faccette: Anestesia (se non devitalizzato)
- Corone: Anestesia (se non devitalizzato)
- Innesto: Anestesia
VALORE
- Igiene: +
- Otturazioni: ++
- Sbiancamento: ++++
- Faccette: ++++++
- Corone: +++++++
- Innesto: ++++
Il valore di ogni cura si valuta nel tempo
Il valore per le terapie dentali è senz'altro importante, tuttavia quello che dobbiamo valutare è la durata nel tempo. Cure riabilitative, come nel caso in questione, ci permettono infatti di vivere una vita tranquilla senza dover più intervenire su tali aspetti. Il nostro studio si concentra sulla durata delle cure piuttosto che sulla quantità.
Quanto vale una vita senza problemi dentali?

Prendersi cura del proprio sorriso significa investire nel benessere, nella sicurezza e nella propria immagine.
Ogni miglioramento inizia da una scelta consapevole.
Hai riconosciuto il tuo caso o vuoi scoprire quale trattamento potrebbe esserti utile?
Ogni caso è unico e merita ascolto, competenza e attenzione.
Se desideri fare il primo passo, ti basterà lasciarci i tuoi dati: sarà nostra cura guidarti con serietà, trasparenza e rispetto dei tuoi tempi e obiettivi.
Verrai contattato dalla nostra segretaria per una visita per trovare una soluzione per le tue richieste
Per Informazioni
Lascia il tuo nome, numero di telefono e email, sarai contattato a breve

Dal 1990 l’eccellenza
sul territorio

Dove ci trovi
Via Stazione 40, San Giovanni al Natisone

Chiamaci
Segreteria: 0432-757840

Scrivici

Orari di Apertura
Lun – Ven
09:00-19:00